Book Now

Book a Consultation

It just takes a few minutes to sign up and get fast, easy access to care, 24/7. No need for your insurance card yet.


STARTING AT:

OPEN ESAOTE MRI S-SCAN $350

Dedicated musculoskeletal MRI from head-to-toe and spine.
The pivoting patient table allows for easy positioning, ensuring comfort and stability. The open gantry design provides easy patient access and eliminates claustrophobia.

X-RAY $75 USD

SSB Diagnostic offers hospital-grade digital X-ray services year-round. Exams are interpreted by board-certified radiologists, with results quickly sent back for follow-up care. Using high-definition technology, SSB partners with leading imaging providers for highly accurate services. SAME DAY RESULTS .. WE TAKE WALK-INS !

EKG (ELECTROCARDIOGRAM) $150 USD

EKG (ELECTROCARDIOGRAM) SSB Diagnostic is a noninvasive test that measures the electrical activity of the heart, providing information about the heart’s function, SSB Diagnostic Imaging have the latest EKG high-definition recording units.
All technicians have been trained to perform on-site electrocardiogram tests.
Results are faxed to ordering physician as soon as interpretation is completed.

GENERAL ULTRASOUND $180

SSB Diagnostic imaging performs ultrasounds with state-of-the-art GE and Sonoscape equipment. Procedures include arterial, venous, carotid Doppler vascular studies, abdominal scans (gall bladder, pancreas, liver, spleen), abdominal aorta, breast, prostate, renal, thyroid, and scrotal imaging.
Our credentialed sonographers deliver accurate results in vascular and general ultrasound imaging.

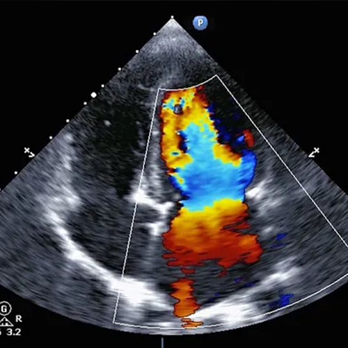
ECHOCARDIOGRAM $300 USD

SSB Diagnostic imaging uses state-of-the-art GE and Sonoscape equipment for echocardiograms, including 2D, M-Mode and Dopplers Evaluation of the heart procedures.
Our sonographers are credentialed in echocardiography by the American Registry of Diagnostic Medical Sonographers (ARDMS) and Cardiovascular Credentialing International (CCI).
All SSB sonographers are highly qualified to provide exceptional cardiovascular imaging.

MAMMOGRAMS $150

Early Detection is the key of life ! If you feel something in your breast please make the appointment.
Most breast cancer is discovered through routine screening Mammograms! Woman age 40 and above should get an annual mammogram and clinical breast exam !


DEXA (BONE DENSITY) $100

Convenient and affordable Dexa scans at SSB Radiology , Painless and Quick !





2D-4D-5D HD LIVE ULTRASOUND $99.99

We enjoy your pregnancy with you while offering you a HIGH QUALITY ultrasound experience for you and your whole family. We have exceptional, professionally trained, certified diagnostic medical sonographers that will take wonderful care of you. Come sit back and relax to see your sweet baby yawn, wave and even smile.

SCREENING VASCULAR ULTRASOUND $250

Vascular screenings ARE IMPORTANT for early detection of potential vascular diseases like abdominal aortic aneurysms, peripheral artery disease, and carotid artery disease, which can lead to serious complications like stroke or heart attack,, with SSB DIAGNOSTIC YOU RECEIVE Affordable services without the need for insurance, putting you in charge. Peace of Mind Enjoying life with confidence, knowing your health is monitored.Early Detection Identify serious conditions at their onset for more effective treatment.

WE ACCEPT
  • Medicare Part B
  • Community Healthcare Group
  • Brand New Day
  • PPO Plans